<li id="ggggg"></li>
  • <li id="ggggg"><tt id="ggggg"></tt></li>
  • 人民網
    人民網>>四川頻道>>綜合欄目>>政商動態

    從死神手中奪回生命 四川省腫瘤醫院這樣創造奇跡

    2023年05月15日10:27 | 來源:人民網-四川頻道
    小字號

    5月4日,對于17歲的少女小玉(化名)不僅是一個節日,也是她重生的日子。手捧著鮮花、笑起來甜甜的她,原本胸腔幾乎三分之二被腫瘤占滿,此刻體內腫瘤幾乎消失無形,達到臨床完全緩解狀態。

    這么大面積的腫瘤是怎樣消失的?近日,四川省腫瘤醫院治療團隊講述了這段驚心動魄的搶救經歷。

    16歲少女命懸一線

    時間回溯到2022年2月,16歲的小玉因咳嗽、咳痰及咯血前往家鄉的醫院就診,隨后被診斷為原發縱膈大B淋巴瘤。由于腫瘤體積大,對縱膈的大血管及心臟產生壓迫,情況十分危急,并且腫瘤已經侵入肺部及骨髓,病情已是晚期。

    在經過標準的一線治療后,腫瘤消退并不理想,隨后的靶向免疫化學二線、三線、四線治療仍無法控制病情的惡化。經過多次抗腫瘤治療,小玉的身體每況愈下、免疫功能逐漸被摧毀,加之肺部病灶大,并發嚴重的肺部感染且無法進食,體重快速下降至30公斤左右,被多位醫生判定為臨終狀態,幾乎無救治可能。

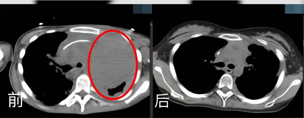
    胸腔CT前后對比。四川省腫瘤醫院供圖

    胸腔CT前后對比。四川省腫瘤醫院供圖

    盡管已經有多位醫生宣告不可能,然而小玉媽媽沒有放棄。輾轉多家醫院,經醫生推薦,她得知四川省腫瘤醫院院長、中華醫學會腫瘤學專業委員會主任委員林桐榆教授是淋巴瘤專家,于是一直堅持不懈地掛林教授的號。

    2022年10月,她總算掛上了號,而彼時小玉的生命已經是按天數計算了。

    一句話打動林教授

    剛接診時,林桐榆也認為小玉生存的希望不大。他坦言,“醫學是有其局限性的,之前的醫生都已經盡力,家屬要做好心理準備?!?/p>

    然而,小玉媽媽的一句話打動了林桐榆。小玉媽媽說:“我掛了幾個月的號,也知道醫治可能性不大。孩子萬一死了,這個遺體給你研究,看看為什么醫不好,以后可以救更多的人?!?/p>

    短短一句話,卻深深打動了林桐榆,他看到了患者家屬對醫生的無條件信任。在所有常規治療都對病患失效的情況下,唯有探索創新才能獲得一線生機,但這是一條沒有走過的路,前提是需要患者和家屬完全的信任與配合。林教授和他的團隊被這種毫無保留的信任感動了,他們決定接下這個棘手的病例,不管困難多大都要救治這個孩子。

    林桐榆詳細了解小玉的情況后,沒有片刻等待,立即安排小玉進入綠色通道流程辦理住院手續,完善相關檢查。

    剛入院時的小玉。四川省腫瘤醫院供圖

    剛入院時的小玉。四川省腫瘤醫院供圖

    鑒于小玉當時的身體情況,治療能否成功,控制體內感染和化療需要同步進行。

    “每次做檢查,我們都心驚膽戰地把搶救設備都帶齊?!痹撛篒CU主任徐珊玲介紹,為了給小玉治療創造最佳條件,重癥醫學科醫護團隊在小玉入院時就一直保駕護航、隨時準備應對各種突發狀況。在重癥醫學科醫護團隊的強力支持下,林桐榆團隊制定出緊急救治方案。

    經過多方努力,小玉被四川省腫瘤醫院團隊從死亡線上拉回來,并為其創造了治愈的可能。

    2023年1月,曙光出現——小玉胸部腫瘤達到部分緩解,從ICU轉入綜合(特需)科。

    一波三折 腫瘤腦轉移

    今年春節前,身體情況良好的小玉可以走著出院了。但是,半個月后,她又坐著輪椅回來了。

    此時,小玉身體里的腫瘤轉移到腦部,腫瘤又變得猖獗。病情加重時,小玉再次暴瘦。血腦屏障的存在導致大多數藥物難以進入大腦。如何突破這一難題?

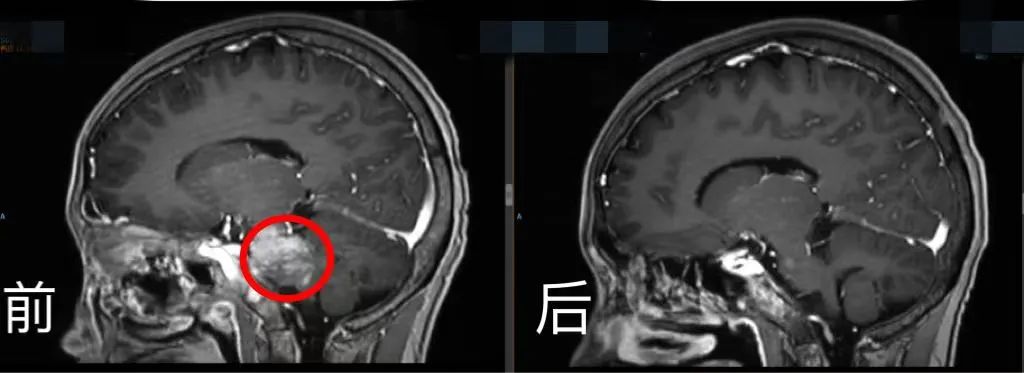
    腦部CT前后對比。四川省腫瘤醫院供圖

    腦部CT前后對比。四川省腫瘤醫院供圖

    林桐榆領銜腫瘤內科、重癥醫學科、放療科、影像科、病理科和營養科等多學科治療團隊,通過多學科個體化的方式,根據病理結果及靶點反復為小玉研究個體化的抗腫瘤治療,“一邊大劑量用藥,一邊降低毒性、盡量減少副作用?!?/p>

    “當小玉出現中樞受侵、瀕臨癱瘓的情況下,治療團隊再次感受到了前所未有的壓力和打擊?!绷滞┯芑貞泴π∮袷┚冗^程,處理過程如履薄冰,常常是驚心動魄。

    雖然一個問題接著一個問題,治療團隊始終不拋棄、不放棄,借助分子病理技術不斷地去分析靶點,冒著風險實施大劑量藥物治療,還采用了川腫最新引進的全球最先進的射波刀等治療手段,全院力量聚焦,為一個生命努力。

    林桐榆傾盡心血,經常凌晨突然想到新的治療辦法,即刻通過微信給團隊留言?!昂芏鄷r候早上起來看到林院長的留言,實際上我們是用了他說的藥,但是他不放心,還是會事無巨細地叮囑?!痹撛壕C合(特需)科主任王久惠感嘆,“林教授不僅根據各項指標悉心指導和調整診療計劃,從飲水吃飯到康復訓練,事無巨細,還會在查房時和病人談心、擁抱病人、鼓勵病人?!?/p>

    腫瘤消失!川腫團隊創造生命奇跡

    盡管壓力巨大,但每次見到小姑娘,林教授都微笑著給她加油打氣,無時無刻不在為她傳遞戰勝病魔的信心。

    經院內多學科MDT討論,團隊制定出同步放化療的橋接治療及后續CAR-T細胞治療的方案。在密集的化療及放療等橋接治療后,復查影像學提示病灶明顯縮小,骨髓穿刺涂片、流式及活檢均未見腫瘤累及。按照CAR-T細胞治療流程,小玉接受了單采、預處理及CAR-T細胞回輸等處理。CAR-T細胞治療用好了有可能提高治愈率,但它是一把雙刃劍,容易伴隨細胞因子釋放綜合征等副作用,引起免疫反應,特別是腦轉移者。一旦出現嚴重不良反應將前功盡棄。

    多學科MDT討論。吳舒婷攝

    多學科MDT討論。吳舒婷攝

    為迎接這次挑戰,綜合(特需)科醫護人員在林桐榆的指導下制定了周密的計劃,包括單間病房、無菌床、準備各種搶救藥品、嚴格病房消毒、醫護人員手衛生等,密切監測患者每日飲水量、尿量、血壓、血氧飽和度、心率指標,隨時調整方案避免毒副作用。

    經過2周的院內嚴密監測護理,小玉沒有發生細胞因子釋放綜合征和神經相關毒性等不良反應,再次復查影像學病灶幾乎完全消失。

    小玉出院時,母女和林教授合照。四川省腫瘤醫院供圖

    小玉出院時,母女和林桐榆合照。四川省腫瘤醫院供圖

    5月,17歲的小玉完成了她長達14個月的就醫歷程,終于在“五四”青年節這天出院。出院時,小玉體重已經恢復正常,已有46公斤,后續她將堅持在醫護人員的指導下進行康復訓練和隨訪。出院前,她送給了林桐榆一張手寫的卡片,上面寫著:“感謝林爺爺讓我再次看到了這美好的人間,給了我人的希望?!?/p>

    小玉出院時送了林教授一張卡片,上面寫著“感謝林爺爺讓我再次看到了這美好的人間,給了我人的希望”。吳舒婷攝

    小玉送給林桐榆的卡片。吳舒婷攝

    林桐榆非常珍視這張小小的卡片?!捌孥E是在精準治療下產生的?!彼f:“醫生是生命的守護神,信任是創造醫學奇跡的基礎。盡管現在的醫學研究仍無法攻克所有病癥,但是醫學就是在不斷失敗、不斷總結中進步。希望把這次治療經歷和學術成果分享給全世界的醫生,就像小玉媽媽所說的,這樣可以救更多的人?!保ㄍ醴?、實習生吳舒婷)

    (責編:李強強、高紅霞)

    分享讓更多人看到

    返回頂部
    加勒比最新无码av免费资源